EMMA'S STORY

Behind Every Smile is a Story

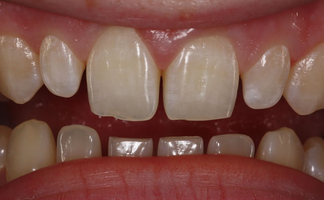
BEFORE EMMA's TREATMENT
inman aligner in northern ireland
AFTER EMMA's TREATMENT
braces for adults  in northern ireland
WHAT TREATMENT DID EMMA HAVE?

Whitening and Smile Contouring by Trevor McKissick BDS

 

BACK TO OUR SMILE STORIES