Everyone wants a spectacular smile and we want you to have one too!
Our smile team, Trevor and Jennifer, stay ahead of the game by regularly attending advanced dental studies throughout Europe that focus specifically on smile contouring- rather than crowns or porcelain veneers.
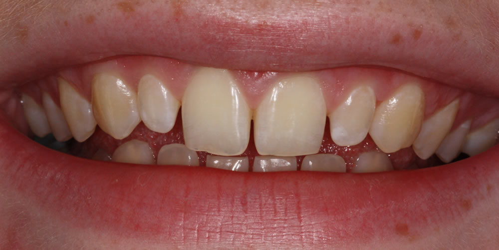
Thanks to advances in the leveling of uneven smile lines, amazing contouring results can now be achieved with minimal discomfort - converting worn, pointed or chipped teeth into a gorgeous, younger looking and shapely smile that looks natural and matches the patient’s complexion.
Contouring, or reshaping, a patient’s smile is now one of the most popular treatments we provide and can be used to correct:




A high smile is often described as a ‘gummy smile’. With gum contouring we can reshape the gum and restore the natural proportions of your teeth to help create the perfect smile. Every case is different, however, so treatment can range from simple soft tissue sculpting, or in more severe cases, to a surgical procedure.
Contouring a tooth involves careful adjustments to create better shapes and sizes to enhance your smile, normally involving the removal or addition of a few millimetres of material. It’s a very straightforward but highly effective way to even out your smile without using more invasive techniques.
The best way to discover just how amazing your smile could be is to have a chat with either Trevor or Jennifer. They’ll take you step-by-step through the various options and procedures available and help you decide which is the best one for you. Call our practice today and ask for an appointment.